“I've been a patient of Dr. Dexter's for almost 4 years. I was referred to him after 2 failed attempts for implants and was told that he was "the best of the best". Let me tell you...he IS!! Going to Dr. Dexter has truly been life changing for me. I've had implants for almost 3 years now and there's nothing that I can't eat! I can't thank Dr. Dexter and his staff enough. They really are the best!”
- Malisa P
“Staff was excellent. Care was excellent. Top a notch on everything across the board.. patient care, kind, easy to speak to, and most importantly top-notch care!"
- Nanette L.
“Dr Dexter (and his incredible staff) provide that very very rare thing these days: truly personal CARE. They actually treat their patients as individual people with compassion and thoughtful concern about our personal needs and concerns. Thank you so much for taking care of us!!”
- Gillian S
“I am truly in awe. Dr. Dexter and all of his associates are absolutely amazing people. He was so helpful. He made sure I was comfortable, and he kept me informed every step of the way. He explained all of the technical parts of everything he was doing, and I felt like I was well taken care of. I have never been more confident with my smile. I would recommend him 10-fold. Quality!”
- Azrene M
“Dr Dexter did a tongue tie release for my teenage son. He and his staff were wonderful! Very compassionate and personable and put everything at ease! Thank you!!”
- Ashley K
“Dr. Dexter just completed a complicated procedure for me that stumped 2 other dental professionals. My smile is now perfect thanks to his expertise. He and his team are professional, knowledgeable and kind. Dr. Dexter is a dental genius, and I give him the highest recommendation possible!”
- Tammy B.
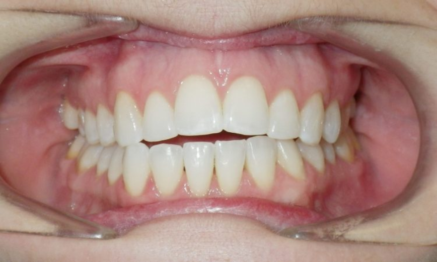
Real Patients, Real Results
7301 Mission Road, Suite 206 (Building A) Prairie Village, KS 66208